Prima dell'esame
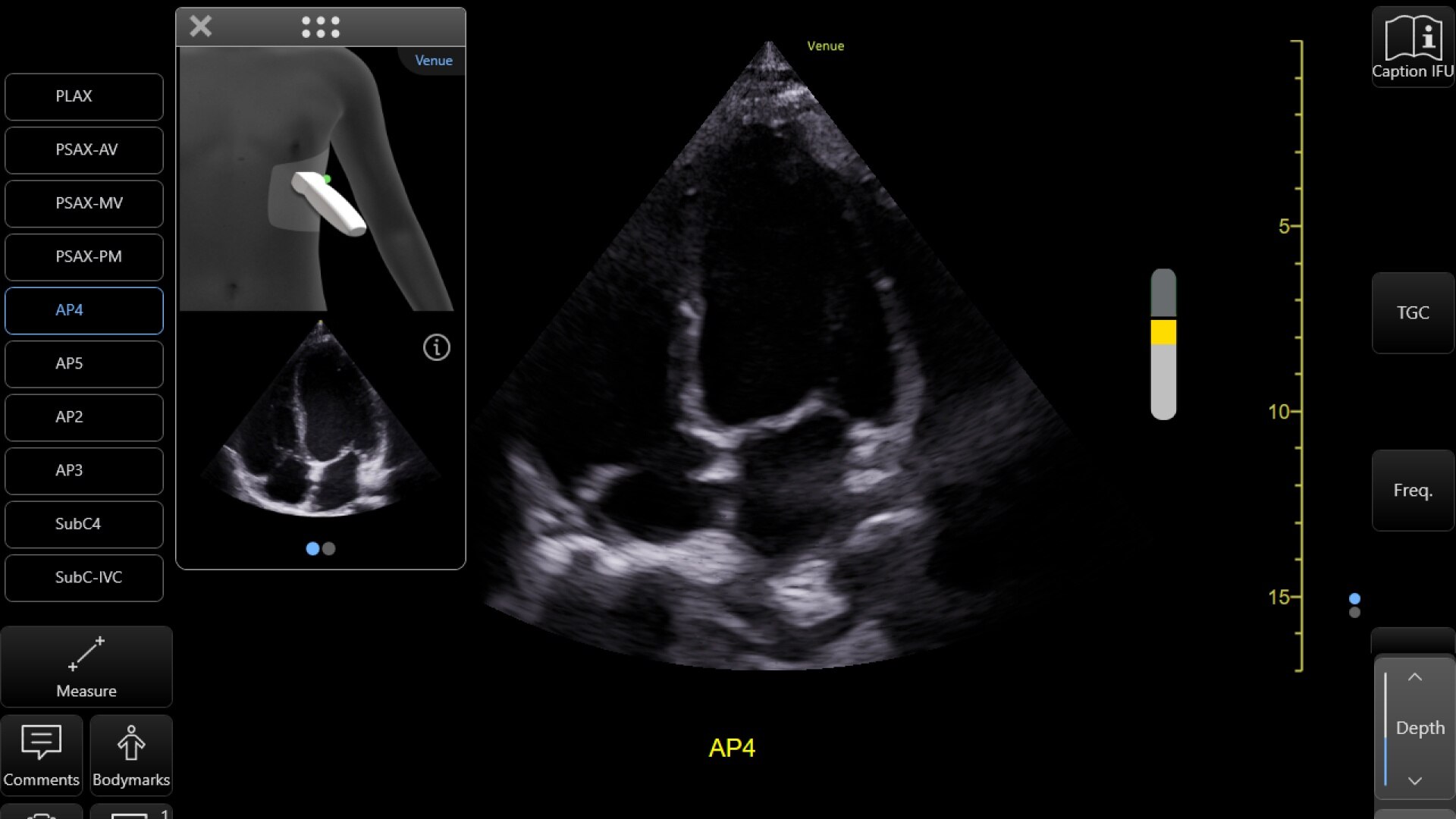
Le informazioni preliminari sul posizionamento della sonda mostrano dove posizionare e come orientare la sonda ecografica. Una volta iniziato l'esame, un'immagine di riferimento mostra l'immagine in fase di acquisizione.
Imaging
Ecografi
Ecografia automatica senologica - ABUS
Ecografia point of care - VENUE
Ecografia multidisciplinare - LOGIQ
Ecografia primary care - VERSANA
Ecografia cardiovascolare - VIVID
Ecografia ginecologica - VOLUSON
Ecografia palmare - VSCAN
Soluzioni digitali per ecografia
Soluzioni lifecycle per ecografia
Verisound™ Collab
Tutti gli ecografi
Soluzioni per la cura del paziente
Farmaci diagnostici
Software e soluzioni AI
Apparecchiature ricondizionate Goldseal
Parti e accessori
Tutti i prodotti e le soluzioni
Contratti di assistenza
Gestione delle apparecchiature
Servizi predittivi
Service Shop
Sicurezza informatica
Soluzioni lifecycle per ecografi
Tutti i servizi
Guida Prescrittiva
Misuratore qualità
Salva la clip migliore
Acquisizione automatica
Ti assiste prima, durante e dopo la scansione
Le informazioni preliminari sul posizionamento della sonda mostrano dove posizionare e come orientare la sonda ecografica. Una volta iniziato l'esame, un'immagine di riferimento mostra l'immagine in fase di acquisizione.
Segui le indicazioni prescrittive sullo schermo. Sposta lentamente la sonda e osserva l'indicatore di qualità che aumenta man mano che ci si avvicina un'immagine di qualità diagnostica.
Rivedi facilmente le clip registrate prima di terminare l'esame per assicurarti di disporre di tutte le viste di cui hai bisogno.
Se state cercando un modello flessibile, dai sistemi portatili da tavolo ai carrellati, oppure un sistema con console dotato di uno schermo grande, abbiamo il sistema versatile, robusto e semplice più adatto al vostro punto di cura.
JB02957IT
© 2026 GE HealthCare. GE è un marchio di General Electric Company usato sotto licenza di marchio.
Ai sensi del Regolamento (UE) 2017/745 (MDR) e del Regolamento (UE) 2017/746 (IVDR), recepiti in Italia mediante i Decreti Legislativi 137/2022 e 138/2022, nonché in conformità con le Linee guida del Ministero della Salute del 4 aprile 2025, si informa che l’accesso ai contenuti di carattere promozionale relativi a dispositivi medici, dispositivi medico-diagnostici in vitro e presidi medico-chirurgici è riservato esclusivamente ai professionisti sanitari.