Revolution Ascend

Il nuovo standard per la TC
IN BREVE

Pre-scansione

Revolution Ascend utilizza la tecnologia di intelligenza artificiale per suggerire i protocolli e posizionare il paziente in modo automatico.

Scansione

Gli strumenti intelligenti integrati nel nuovo Clarity Operator Environment possono fornire in modo coerente le impostazioni dell'intervallo di scansione, la dose e la qualità dell'immagine ottimali per ciascun paziente.

Post-scansione

Revolution Ascend consente di scegliere il pacchetto di analisi e revisione delle immagini più adatto al proprio sistema

Gestione di volumi maggiori di procedure TC con un flusso di lavoro più rapido e immagini più chiare.

Con la tecnologia Revolution™ Ascend, abbiamo ridefinito l'intera esperienza TC. Il nuovo gantry da 75 cm rende il processo più rapido, intuitivo e accessibile, fornendo al contempo una qualità delle immagini che supera le aspettative. Revolution Ascend utilizza una soluzione per il flusso di lavoro basata sull'intelligenza artificiale, un'interfaccia utente intelligente, una tecnologia all'avanguardia e e tramite la Smart Subscription permette di semplificare, snellire e automatizzare in modo sostanziale l'intera esperienza TC, sia all'interno che all'esterno della sala di scansione. Smart Subscription per sistemi di imaging
Caratteristiche

Versatilità per più applicazioni

Revolution Ascend è estremamente versatile e può essere quindi impiegato per l'imaging di routine, cardiaco, di emergenza e interventistico, oltre che su pazienti di corporatura robusta.
PERFORMANCE CLINICHE

Ridefinizione delle performance cliniche

Quando si parla di TC, ciò che richiede più tempo non è la scansione ma attività quali la preparazione del paziente, la ricostruzione delle immagini o la preparazione dei referti. Per progettare Revolution Ascend bbiamo analizzato ogni fase precedente e successiva alla scansione e utilizzato i risultati dell'analisi. La nostra soluzione risolve quindi problemi comuni quali la capacità di gestire in modo efficiente pazienti con un IMC alto e procedure interventistiche. Consente inoltre una facile scansione "a due pulsanti" per tutte le immagini
FLUSSO DI LAVORO SEMPLIFICATO

Rivoluzionate l'esperienza TC dalla prima visita alla generazione del referto

Siamo sempre alla ricerca di nuovi modi per migliorare l'efficienza operativa e trasformare il flusso di lavoro di imaging in una procedura più automatica ed efficiente possibile. Abbiamo studiato l'intero flusso di lavoro e creato soluzioni specifiche per la TC per semplificare e snellire ogni fase del processo. Queste soluzioni sono il fulcro della nostra tecnologia Effortless Workflow, una sofisticata combinazione di soluzioni che automatizzano e semplificano attività che richiedono più tempo, prima e dopo la scansione.
INTERFACCIA UTENTE

Intuitiva e automatica

Con Revolution Ascend andiamo verso una standardizzazione delle funzioni grazie all'integrazione della stessa interfaccia utente del nostro sistema TC di alta fascia. L'interfaccia utente è dotata del nuovo Clarity Operator Environment, progettato tenendo conto delle esigenze quotidiane, con pratiche funzioni come Smart Plan, per il riconoscimento intelligente dell'anatomia e l'impostazione del localizzatore. Inoltre, l'Auto Prescription regola automaticamente le impostazioni della scansione raccomandando parametri di scansione specifici per il paziente e assicurando qualità dell'immagine e prestazioni della dose desiderate.
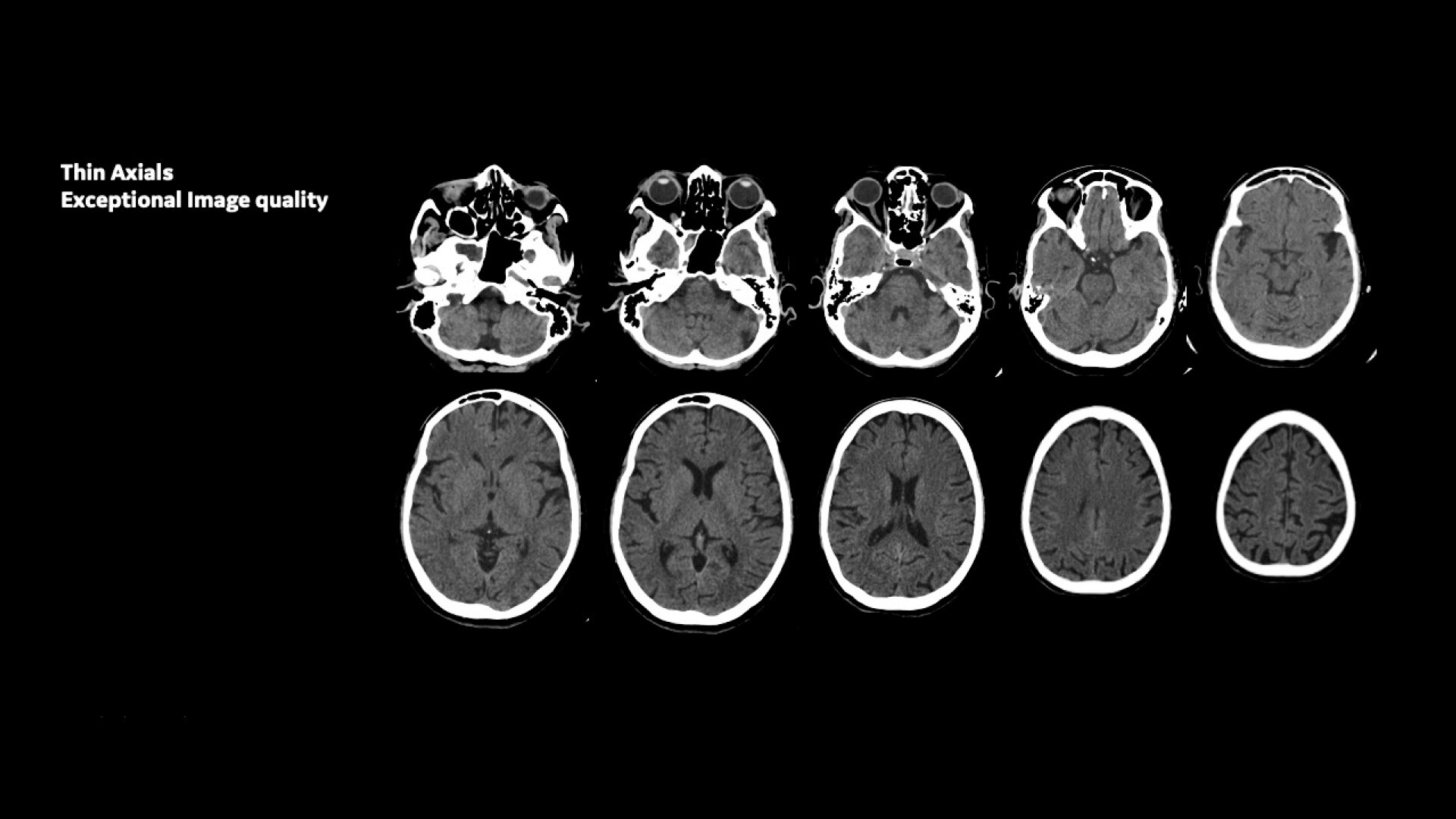
IMMAGINI TRUEFIDELITY™

L'Intelligenza Artificiale applicata alla ricostruzione di immagini

Revolution Ascend ricostruisce immagini TrueFidelity generate dal nostro motore Deep Learning Image Reconstruction (DLIR). Questa tecnologia aumenta i dettagli dell'immagine, il contrasto e fornisce una texture e una qualità di immagine senza compromessi. Le immagini TrueFidelity5 vengono ricostruite utilizzando l'intelligenza artificiale per combinare la riduzione della dose alla texture della FBP.
DIMENSIONE DEL GANTRY

Una TC per tutti

Revolution Ascend abbina un nuovo gantry da 75 cm a un tavolo porta paziente più basso per aumentare del 22% l'area paziente all'interno del gantry rispetto agli scanner TC GE Healthcare di precedente generazione. Questo miglioramento offre più spazio ai pazienti, per un'esperienza di scansione TC più confortevole. Con questo nuovo design del gantry più ampio, Revolution Ascend presenta un’apertura del gantry più ampia possibile mantenendo la stessa geometria corta della sua classe6, il che consente di eseguire la TC anche con pazienti di corporatura robusta e pazienti traumatici.
SMART SUBSCRIPTION

Una TC in continua evoluzione

Lo sviluppo delle applicazioni TC è in continua evoluzione e i modelli di acquisto tradizionali faticano a tenere il passo. Smart Subscription, il nostro nuovo servizio in abbonamento per le applicazioni TC, consente di aggiornare automaticamente tutti i sistemi. Con un costo annuo per ciascun dispositivo, potrete contare su apparecchiature TC sempre aggiornate allo stato dell'arte con i software più recenti.
Caratteristiche

Funzionalità aggiuntive di Revolution Ascend

22%

Gantry più spazioso (+22%) per rendere più confortevole l'esperienza per il paziente.2

66%

Riduzione degli step (-66%) per un flusso di lavoro più rapido e automatizzato.3

91%

Riduzione del rumore dell'immagine mediante ASiR-V rispetto alla ricostruzione FBP con la stessa dose, a seconda della tecnica di scansione e dei parametri di ricostruzione.4
NOTE
  1. 1. La classe di riferimento è identificata come scanner TC nel settore che hanno una copertura del rilevatore di 38,4-40 mm con potenza massima del generatore che ha una capacità da 55 kW a 82 kW, a partire da luglio 2021.
  2. 2. L'area del paziente corrisponde allo spazio circolare tra la parte superiore del tunnel del gantry e il centro della superficie del piano d'esame nella posizione più bassa del lettino.
  3. 3. I clic richiesti sono definiti come quelli necessari per eseguire una scansione dalla selezione di un nuovo paziente fino all'avvio della scansione. Tutti i clic associati per e nella pratica clinica e il numero di clic richiesti possono variare a seconda delle circostanze, tra cui, solo a titolo di esempio, l'attività clinica, il tipo di esame, la pratica clinica e la tecnica di ricostruzione delle immagini.
  4. 4. Nella pratica clinica, l'uso di ASiR-V può ridurre la dose ai pazienti sottoposti a TC, a seconda dell'attività clinica, della corporatura del paziente, della posizione anatomica e della pratica clinica. Un consulto con un radiologo e un medico dev’essere effettuato per determinare il dosaggio appropriato per ottenere la qualità dell’immagine diagnostica per la particolare attività clinica. Rilevabilità a basso contrasto (LCD), disturbo dell'immagine, risoluzione spaziale e manufatto sono stati valutati utilizzando i protocolli di fabbrica di riferimento confrontando ASiR-V e FBP. L'LCD misurato in slice da 0,625 mm e testato per entrambe le modalità testa e corpo usando MITA CT IQ Phantom (CCT183, The Phantom Laboratory), usando il metodo osservatore modello.

Hai una domanda? Non esitate a contattarci

JB16688XX