SenoBright™ HD

Applicazione avanzata per mammografia con mezzo di contrasto

Riduce l’effetto di mascheramento del tessuto mammario per individuare le informazioni essenziali1.
In breve

Elevata sensibilità

Si traduce in una diagnosi accurata del cancro al seno1.

Rapido ed efficiente

Meno di 7 minuti per eseguire un esame con SenoBright HD2.
30 esami CEM al giorno3.

Elevata specificità

Per ridurre i falsi positivi e per evitare l'esecuzione di esami non necessari1.

Prendersi cura di un maggior numero di pazienti

Il 43% delle pazienti, in altri casi, non si sottoporrebbe alle visite di follow-up4.

Visualizzazione chiara con il mezzo di contrasto

Fornisci alle pazienti risposte rapide ed evita loro l'ansiaderivante da un esame inconcludente.
NITIDEZZA SORPRENDENTE

L'immagine di cui hai bisogno sempre disponibile

• Aiuta a ridurre l'effetto di mascheramento del tessuto fibroghiandolare della mammella e aumenta il segnale del tumore1.
• Il mezzo di contrasto evidenzia le aree con flusso sanguigno anomalo.
• Il CEM è un metodo di imaging alternativo alla RM, in particolare quando l'accesso a quest'ultimo esame è limitato o controindicato5
PRESTAZIONI ECCEZIONALI

Migliora la precisione clinica

• Individua le lesioni che non possono essere visualizzate con la mammografia di routine6,7,8.
• Fornisce un'elevata specificità per i bassi falsi positivi1.
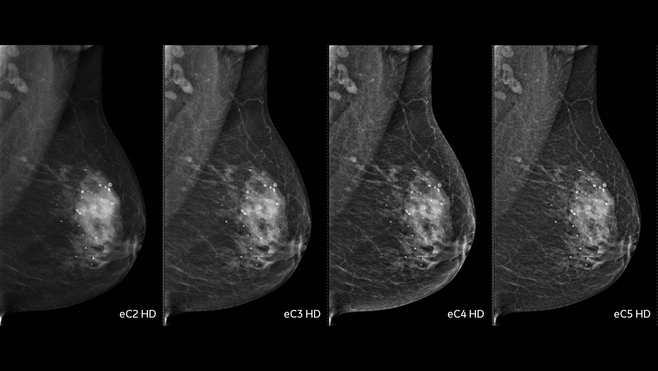
• Con Nira, la qualità complessiva delle immagini è stata valutata migliore in oltre il 98% delle immagini generate da tutti i lettori9.
FAI CRESCERE IL TUO CENTRO

Permette di prendersi cura di un maggior numero di pazienti

• Allarga l’accesso a questa tecnologia a un'ampia popolazione di donne.
• Riduce le attese estenuanti permettendo alle donne di ricevere una diagnosi sicura.
• Pensato per il 43% delle pazienti che in altri casi non si sottoporrebbe alle visite di follow-up4.
AUMENTO DELLA PRODUTTIVITÀ

Permette di eseguire 30 esami CEM al giorno3

• Consente di filtrare i falsi positivi per individuare a colpo d'occhio i dati effettivamente critici1.
• È in grado di eseguire l'esame di imaging in meno di 7 minuti2, su una macchina e con il personale con cui le donne si sentono più a proprio agio.

Formazione per SenoBright™ HD per mammografia con mezzo di contrasto

L’ecosistema formativo digitale progettato per i clienti di SenoBright HD per restare costantemente aggiornati sui progressi nel campo dell'imaging della mammella.

Per saperne di più
CONTATTACI

Hai una domanda? Desideriamo conoscere la tua opinione.

Bibliografia
1. 510(k) K172404.

2. Dati in archivio. GE HealthCare 2017.

3. Calcolando turni di 8 ore. Dati in archivio, GE HealthCare 2019.

4. Andrew Mosier DO, Esha Gupta MD, Dana Ataya MD, Kavita Bhatt MD, Alice Rim MD.
Marzo 2017. https//doi.org/10.1111/tbj.12784.

5. Phillips et al. Workflow Considerations for Incorporation of Contrast-Enhanced Spectral
Mammography Into a Breast Imaging Practice, ACR, 2018 https://doi.org/10.1016/
j.jacr.2018.02.0121.

6. Rispetto alla scansione senza contrasto.

7. J. Sung et al., Radiology 2019; 00:1-8.

8. V. Sorin et al. American Journal of Roentgenology: W267-W274. 10.2214/
AJR.17.1935510(k) K172404.

9. 510(k) K211215. Studio clinico eseguito da 3 radiologi qualificati MQSA su 50 immagini
cliniche, confrontando SenoBright HD con NIRA con la versione corrente.

*Accuratezza diagnostica superiore dimostrata anche in uno studio clinico che ha messo a confronto il ROC AUC del Protocollo di Screening GE (V-Preview + 3D CC/MLO con 3D in modalità STD) con il Protocollo di Screening che prevede solo l’acquisizione in FFDM 2D. V-Preview è l'immagine "2D sintetica" generata dal software dedicato SenoIris utilizzando le immagini DBT acquisite da sistemi mammografici DBT GE. FDA PMA P130020 http://www.accessdata.fda.gov/scripts/cdrh/cfdocs/cfpma/pma.cfm?id=P130020.

**Rispetto alla biopsia 2D eseguita con Pristina Serena. Dati in archivio, GE HealthCare 2018.

JB02049IT