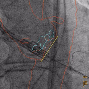
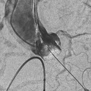
TAVI
LAAC
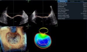
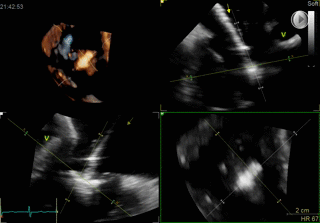
TMVR
TTVR
Assistenza cardiaca
- Paravalvular Leak After Transcatheter Aortic Valve Replacement. The New Achilles’ Heel? A Comprehensive Review of the Literature - https://www.ncbi.nlm.nih.gov/pubmed/23375925
- Aortic regurgitation after transcatheter aortic valve implantation: mechanisms and implications. http://cdt.amegroups.com/article/view/1552/2256
- 5-year outcomes of transcatheter aortic valve replacement or surgical aortic valve replacement for high surgical risk patients with aortic stenosis (PARTNER 1): a randomised controlled trial - https://www.ncbi.nlm.nih.gov/pubmed/25788234
- La soluzione Valve ASSIST 2 comprende TAVI Analysis, HeartVision 2 e richiede una workstation AW con Volume Viewer, Volume Viewer Innova. Queste applicazioni sono vendute separatamente.
- INTERACT ViewX è un kit di connessione per visualizzare le immagini interventistiche sul display del sistema ecografico GE. Richiede i sistemi Vivid E95 o Vivid S70N venduti separatamente. Si riferisce alle funzioni di Innova IGS 5, Innova IGS 6, Discovery IGS 7 e Discovery IGS 7 OR
- I sistemi Vivid sono venduti separatamente
- Roy, et al. Novel Integrated 3D Multi-Detector Computed Tomography and Fluoroscopy Fusion for Left Atrial Appendage Occlusion Procedures. Catheter Cardiovasc Interv 2017;Mar 17, DOI:10.1002/ccd.26998
- Cvi42 Mitral, distribuito da GE per Circle Cardiovascular, è un'applicazione leader che offre un set di strumenti e un flusso di lavoro completi per la valutazione della valvola mitrale. Accessibile solo su AW 4,7. Cvi mitral è venduto separatamente. Potrebbe non essere disponibile in tutti i mercati. Contattate il rappresentante commerciale locale
- 15596_MVQ_Whitepaper_v7.pdf












