Valve ASSIST 2 per impianto della valvola aortica transcatetere

product-product-categories-Intervantional - 2016-valve_11.jpgPianificazione

La segmentazione dell'aorta e la definizione della valvola a zero clic permette a tutti i clinici di effettuare un dimensionamento accurato della valvola.

product-product-categories-Intervantional - 2016-valve_12.jpgGuida

La guida alla fusione 3D, migliorata con l'ottimizzazione della visualizzazione delle calcificazioni, migliora la visualizzazione delle strutture mobili con contrasto.

product-product-categories-Intervantional - 2016-valve_13.jpgValutazione

Valuta il potenziale rigurgito con una visualizzazione eccezionale del contrasto.

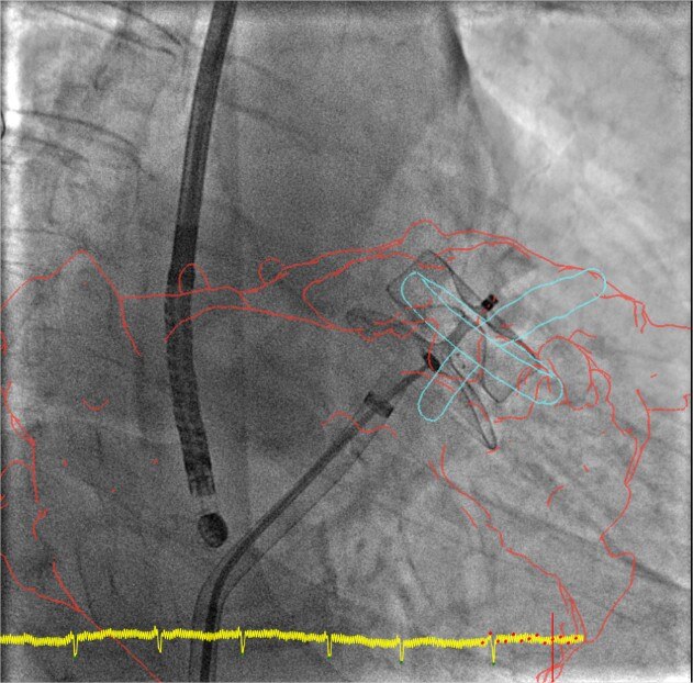
VALVE ASSIST 2 per l'occlusione dell'appendice atriale sinistra

product-product-categories-Intervantional - 2016-valve_21.jpgPianificazione

Segmentazione delle immagini CT in 3D dell'atrio sinistro per pianificare con precisione l'intervento, tra cui:

- Morfologia
- Zona di destinazione ideale
- Dimensione ottimale del dispositivo
product-product-categories-Intervantional - 2016-valve_22.jpgGuida

La fusione 3D aiuta a guidare ogni passaggio con sicurezza, dalla puntura trans-settale all'impiego del dispositivo. Riduzione significativa del tempo della procedura, diminuendo contemporaneamente mezzi di contrasto e dose.

product-product-categories-Intervantional - 2016-valve_23.jpgValutazione

Una volta impiegato il dispositivo, utilizzare l'ecocardiografia per confermare la posizione del dispositivo e valutare la compressione prima di rilasciare il dispositivo.3

Casi Clinici e Pubblicazioni

Booklet

Valve ASSIST 2 and VIVIDTM E95 Utilizing advanced imaging to Plan, Guide, and Assess Left Atrium Appendage Closure procedures.

Dr. Garot and Dr. Cormier. Institut Cardiovasculaire Paris Sud, Massy (France)

Presentazioni

Benefits of Valve ASSIST 2 for LAAC procedures

Dr. Spaziano, McGill University Health Center, Montreal, Canada

product-product-categories-Intervantional - 2016-article_article.jpg

Pubblicazioni scientifiche

Valve ASSIST 2 : Value of Image Fusion Coronary angiography for the detection of CABG

J. Plessis et al.

J Am Heart Assoc. 2016 Jun 10;5(6). pii: e002233. doi: 10.1161/JAHA.115.002233.
product-product-categories-Intervantional - 2016-article_article.jpg

Pubblicazioni scientifiche

TCT-624 Novel Integrated 3D Multi-Detector Computed Tomography and Fluoroscopy Fusion for Left Atrial Appendage Occlusion Procedures

A. Roy et al.

Catheter Cardiovasc Interv 2017;Mar 17, DOI:10.1002/ccd.26998

1. La soluzione Valve ASSIST 2 comprende TAVI Analysis, HeartVision 2 e richiede una workstation AW con Volume Viewer, Volume Viewer Innova. Queste applicazioni sono vendute separatamente.
2. Novel Integrated 3D Multi-Detector Computed Tomography and Fluoroscopy Fusion for Left Atrial Appendage Occlusion Procedures - Publication in JACC, Volume 68, Issue 18_S, novembre 2016 https://content.onlinejacc.org/article.aspx?articleid=2576729
3. L'imaging a ultrasuoni non è incluso in Valve ASSIST 2.

JB14187XX