Interventi sulle strutture ossee
Procedure vertebrali
Tessuti molli
Embolizzazione percutanea emboleak di tipo II
Pubblicazioni
Materiali a supporto
Soluzioni ASSIST
2 - Condizioni di misurazione: sistema con tavolo Innova-IQ o tavolo Omega V, fantoccio rigido geometrico, dati CBCT, piano frontale, arco a L a 0 gradi, regione di interesse di 10 cm.
3 - 3DCT HD è un'opzione venduta separatamente. Include 3DXR. Richiede workstation AW e Volume Viewer.
Pianificazione
Guida
Valutazione
Guida
Pianificazione
Guida
Valutazione
Pianificazione
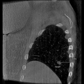
Guida
Valutazione